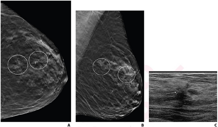
image: A. Craniocaudal and B. mediolateral oblique digital breast tomosynthesis images demonstrate two areas of AD in upper outer left breast (circles) that persisted on additional diagnostic tomosynthesis images (not shown). C. Transverse greyscale ultrasound image of upper outer breast shows irregular hypoechoic mass with associated AD at 12:30 (arrow), corresponding to posterior AD. No ultrasound correlate was identified for anterior AD. Ultrasound-guided biopsy of posterior AD revealed malignancy (invasive lobular carcinoma). Tomosynthesis-guided biopsy of anterior AD yielded benign pathology (stromal fibrosis). view more
Credit: ARRS/AJR
Leesburg, VA, July 27, 2022—According to ARRS’ American Journal of Roentgenology (AJR), for patients with multiple architectural distortion (AD) identified on digital breast tomosynthesis (DBT), biopsy of all areas may be warranted, given the variation of pathologic diagnoses across AD in individual patients.
“Multiple AD, compared with single AD, was significantly more likely to yield high-risk pathology, but there was no significant difference in yield of malignancy,” wrote corresponding author Lilian C. Wang, MD, of Northwestern Medicine. “In patients with multiple AD, multiple ipsilateral or contralateral AD commonly varied in pathologic classification: benign, high risk, or malignant.”
Wang and colleagues’ retrospective study included 402 patients (mean age, 56 years) who underwent image-guided core needle biopsy of AD visualized on DBT between April 7, 2017, and April 16, 2019. Patients were grouped in the single or multiple AD cohort based on the presence of distinct AD areas noted in the clinical report, while the pathologic diagnosis for each AD was based on the most aggressive pathology identified on either biopsy or surgical excision (if performed).
Ultimately, compared with single AD, multiple AD showed a higher frequency of high-risk pathology (53.0% vs. 32.5%, p=.002) but no significantly different frequency of malignancy on a per-lesion or per-patient basis (31.8% vs. 28.2%, p=.56). In 8/24 patients with ≥2 ipsilateral biopsied AD, the ipsilateral areas varied in terms of most aggressive pathology; in 5/10 patients with contralateral biopsied AD, the contralateral areas varied in most aggressive pathology.
“To our knowledge,” the authors of this AJR article contended, “this is the first study to compare pathologic outcomes between patients with single and multiple AD visualized by DBT.”
An electronic supplement to this AJR article is available here.
North America’s first radiological society, the American Roentgen Ray Society (ARRS) remains dedicated to the advancement of medicine through the profession of medical imaging and its allied sciences. An international forum for progress in radiology since the discovery of the x-ray, ARRS maintains its mission of improving health through a community committed to advancing knowledge and skills with the world’s longest continuously published radiology journal—American Journal of Roentgenology—the ARRS Annual Meeting, InPractice magazine, topical symposia, myriad multimedia educational materials, as well as awarding scholarships via The Roentgen Fund®.
MEDIA CONTACT:
Logan K. Young, PIO
44211 Slatestone Court
Leesburg, VA 20176
703-858-4332
Journal
American Journal of Roentgenology
Method of Research
Imaging analysis
Subject of Research
People
Article Title
Pathologic Outcomes in Single Versus Multiple Areas of Architectural Distortion on Digital Breast Tomosynthesis
Article Publication Date
27-Jul-2022
COI Statement
Drs. Lilian Wang, Michelle Philip, Sandra Rao, and Rebekah Anders have no disclosures. Dr. Bhole has research grant funding from Google and Clarix Imaging. Dr. Gupta receives research grant funding from Google. Dr. Schacht receives research grant funding from Google and Clarix Imaging and is a consultant on an educational exhibit with Bayer. Dr. Friedewald is a consultant for Hologic and is the principal investigator and recipient of a research grant from Google.