News Release

Predicting DCIS upgrade to invasive cancer at breast surgery with ultrafast imaging

Ultrafast MRI provides beneficial information that can be used in surgical planning, including determining the need to perform sentinel lymph node biopsy

Peer-Reviewed Publication

American Roentgen Ray Society

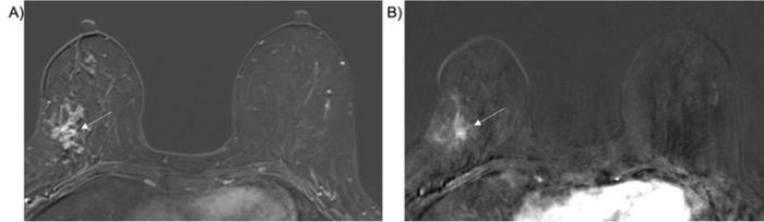
52-year-old woman with stereotactic biopsy-proven intermediate grade DCIS, upgraded to high-grade invasive ducal carcinoma

image: A) Preoperative breast MRI, initial DCE post-contrast axial fat-saturated T1 axial subtraction image, demonstrates 6 cm clumped enhancement surrounding biopsy clip (arrow). B) Ultrafast imaging, post-contrast subtraction with TTE of 5 seconds (arrow) view more 

Credit: ARRS/AJR

Leesburg, VA, February 8, 2023According to an accepted manuscript published in ARRS’ American Journal of Roentgenology (AJR), ultrafast (UF) MRI provides beneficial information that can be used in surgical planning, including determining the need to perform sentinel lymph node biopsy.

“Preoperative UF-MRI, time to enhancement, and lesion size on conventional dynamic contrast-enhanced (DCE) MRI and mammography show potential in predicting upgrade of ductal carcinoma in situ (DCIS) to invasive cancer at surgery,” wrote first author Rachel Miceli, MD, of NYU Langone Health.

This AJR accepted manuscript identified consecutive women with biopsy-proven pure DCIS lesions who underwent UF-MRI with DCE-MRI and had subsequent surgery between August 2019 and January 2021. To determine predictors of upgrade to invasive cancer, patient and lesion characteristics; biopsy method and pathology; as well as lesion features on mammography, ultrasound, DCE-MRI, and UF-MRI were assessed.

Ultimately, at surgery, 38% of lesions diagnosed as DCIS at percutaneous biopsy were upgraded to invasive cancer. Time to enhancement on UF-MRI was associated with upgrade from DCIS to invasive cancer (p=.03) with an optimal threshold of 11 seconds (specificity, 50%; sensitivity, 76%).

Reiterating that short time to enhancement can assist prediction of lesions diagnosed as DCIS at percutaneous biopsy that will be upgraded to invasive cancer at surgery, “further studies with larger cohorts will be helpful in assessing the contribution of UF-MRI for the prediction of upgrade in clinical practice,” Miceli et al. concluded.

An electronic supplement to this AJR accepted manuscript is available here.


North America’s first radiological society, the American Roentgen Ray Society (ARRS) remains dedicated to the advancement of medicine through the profession of medical imaging and its allied sciences. An international forum for progress in radiology since the discovery of the x-ray, ARRS maintains its mission of improving health through a community committed to advancing knowledge and skills with the world’s longest continuously published radiology journal—American Journal of Roentgenology—the ARRS Annual Meeting, InPractice magazine, topical symposia, myriad multimedia educational materials, as well as awarding scholarships via The Roentgen Fund®.


Disclaimer: AAAS and EurekAlert! are not responsible for the accuracy of news releases posted to EurekAlert! by contributing institutions or for the use of any information through the EurekAlert system.