News Release

Synoptic reporting improves pretreatment CT for advanced ovarian cancer

A synoptic report improved completeness of pretreatment CT reports in patients with advanced ovarian cancer, including for established sites of unresectable or challenging-to-resect disease

Peer-Reviewed Publication

American Roentgen Ray Society

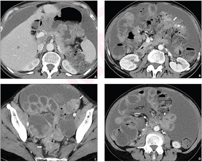
62-year-old woman who underwent pretreatment CT for suspected advanced ovarian cancer

image: Simple structured CT report described presence of peritoneal implants in 6 anatomic locations. Disease was considered resectable based on CT report, and primary debulking surgery was performed. However, this surgery yielded suboptimal resection. Axial contrast-enhanced images from pre-treatment CT show disease involvement of sites of residual disease at surgery that were not mentioned in the report, including the gastric wall (stars, A), colonic wall (arrows, B and C), and small bowel mesentery (arrowhead, D). view more 

Credit: AJR

Leesburg, VA, July 13, 2023According to an accepted manuscript published in the American Journal of Roentgenology (AJR), a synoptic report improved completeness of pretreatment CT reports in patients with advanced ovarian cancer, including for established sites of unresectable or challenging-to-resect disease.

“An ovarian cancer synoptic report increased completeness of reporting, facilitating referrer communication and having the potential to improve clinical decision-making,” wrote first author Pamela Causa Andrieu, MD, from the department of radiology at Memorial Sloan Kettering Cancer Center in New York City.

Andrieu et al.’s AJR accepted manuscript included 205 patients (median age, 65 years) who underwent contrast-enhanced abdominopelvic CT before primary treatment for advanced ovarian cancer from June 1, 2018 to January 31, 2022. A total of 128 reports generated before March 31, 2020 used a simple structured report (i.e., free text organized into sections). Meanwhile, 77 reports generated after April 1, 2020 used a synoptic report—list of 45 anatomic sites relevant to ovarian cancer management, each classified in terms of disease absence versus presence. Reports were reviewed for completeness of documentation of involvement of the 45 sites. In patients who underwent neoadjuvant chemotherapy based on diagnostic laparoscopy findings or who underwent primary debulking surgery with suboptimal resection, Andrieu and colleagues reviewed electronic medical records to identify surgically established sites of unresectable or challenging-to-resect disease. Gynecologic oncology surgeons were electronically surveyed.

Ultimately, in patients who underwent CT before ovarian cancer treatment, involvement of surgically established unresectable or challenging-to-resect disease sites was mentioned in 37% (11/30) of simple structured reports, compared to 100% (13/13) of disease-specific synoptic reports. Moreover, all gynecologic oncology surgeons surveyed by the authors of this AJR accepted manuscript reported that synoptic reports impacted treatment selection and benefited their practice.


North America’s first radiological society, the American Roentgen Ray Society (ARRS) remains dedicated to the advancement of medicine through the profession of medical imaging and its allied sciences. An international forum for progress in radiology since the discovery of the x-ray, ARRS maintains its mission of improving health through a community committed to advancing knowledge and skills with the world’s longest continuously published radiology journal—American Journal of Roentgenology—the ARRS Annual Meeting, InPractice magazine, topical symposia, myriad multimedia educational materials, as well as awarding scholarships via The Roentgen Fund®.

MEDIA CONTACT:

Logan K. Young, PIO

44211 Slatestone Court

Leesburg, VA 20176

lyoung@arrs.org


Disclaimer: AAAS and EurekAlert! are not responsible for the accuracy of news releases posted to EurekAlert! by contributing institutions or for the use of any information through the EurekAlert system.