Veratramine inhibits the proliferation of human osteosarcoma cells. (IMAGE)
Caption
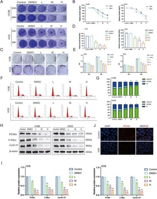
(A–E) The effects of VER on the proliferation of 143B and HOS were detected by the crystal violet staining (A, B), colony formation assay (C, D), and CCK8 assay (E). (F, G) The effects of VER on the cell cycle of 143B and HOS were detected by flow cytometry assay. (H, I) The protein levels of proliferation-related molecules in 143B and HOS were tested by western blot. (J) PCNA in the cytoplasm of 143B was detected by immunofluorescence test, with PCNA labeled with Cy-3 in red and the nucleus labeled in blue with DAPI. Results are presented as mean ± standard deviation. Statistical significance is indicated by *P < 0.05 and **P < 0.01 versus the control group.
Credit
Zhou Xie, Xiao Qu, Ziyun Li, Yingtao Duan, Yafei Zhu, Jiayu Wang, Xueqian Han, Jun Zhang, Jinyong Luo, Xiaoji Luo
Usage Restrictions
Credit must be given to the creator. Only noncommercial uses of the work are permitted. No derivatives or adaptations of the work are permitted.
License
CC BY-NC-ND