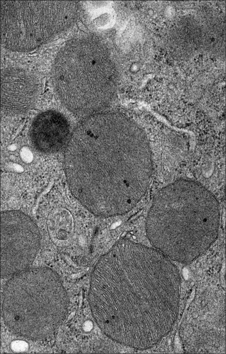
Electron microscope image of badly damaged mitochondria from a kidney with AKI.
Credit
Rebekah Nicholson and Linda Nikolova
Usage Restrictions
Use with credit
License
Original content
Disclaimer: AAAS and EurekAlert! are not responsible for the accuracy of news releases posted to EurekAlert! by contributing institutions or for the use of any information through the EurekAlert system.