AKI drug rescue mitochondria (IMAGE)
Caption
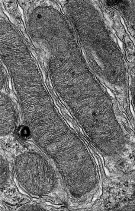
Electron microscope image of mitochondria treated with a drug that prevents AKI. Even under severe kidney stress, the mitochondria are appropriately long and skinny and are functional.
Credit
Rebekah Nicholson and Linda Nikolova
Usage Restrictions
Use with credit
License
Original content