Collage of Head and Neck Cancer Organoids (IMAGE)
Caption
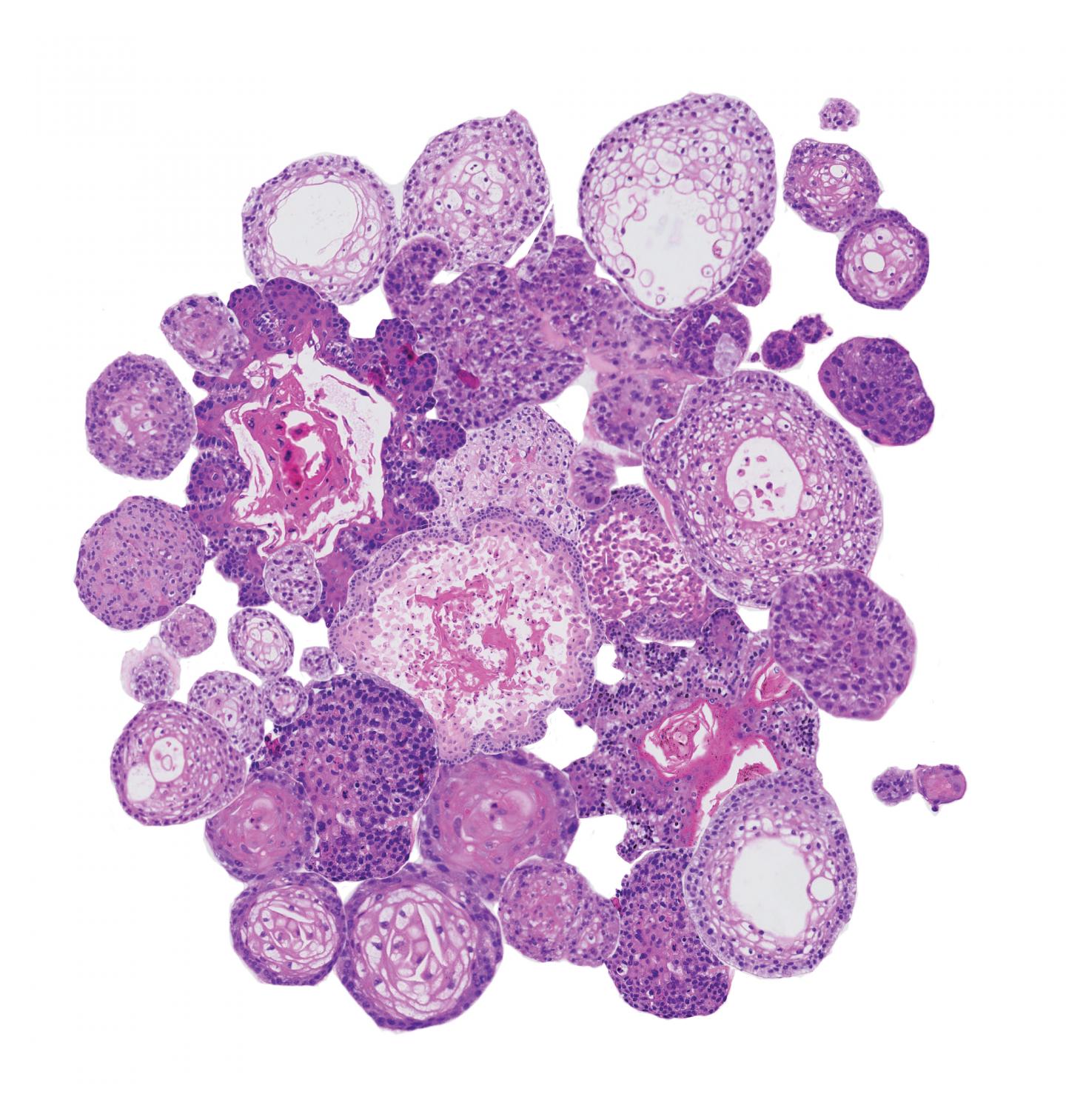
Collage of head and neck cancer organoids, stained with hematoxylin and eosin staining.
Credit
Else Driehuis, © Hubrecht Institute
Usage Restrictions
The image may only be used with the appropriate caption and credit.
License
Licensed content