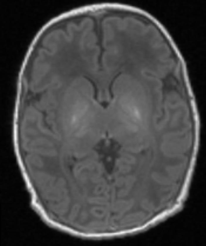
Scan Two -- Brain Damage (IMAGE)
Caption
Scan one shows the brain of a healthy baby, while scan two shows that of a baby with brain damage. Compared to scan one, scan two shows abnormal brightness in the deep nuclei (in the centre of the brain), which indicates damage.
Credit
Imperial College London
Usage Restrictions
None
License
Licensed content