News Release

A 15-minute scan could help diagnose brain damage in newborns

Peer-Reviewed Publication

Imperial College London

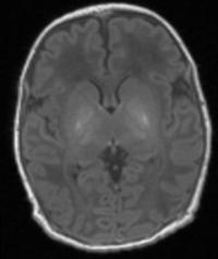
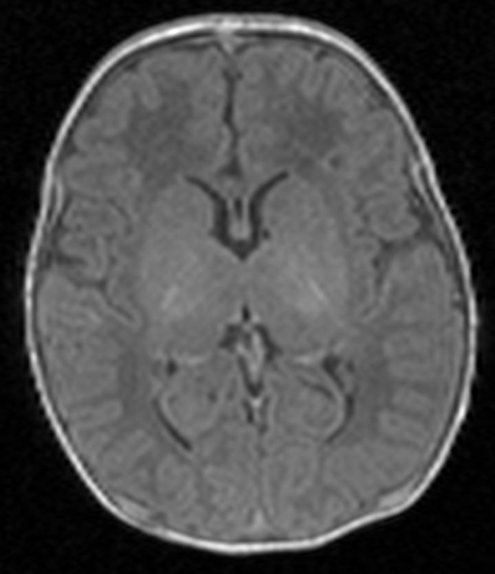
Scan One -- Healthy Brain

image: Scan one shows the brain of a healthy baby, while scan two shows that of a baby with brain damage. Compared to scan one, scan two shows abnormal brightness in the deep nuclei (in the centre of the brain), which indicates damage. view more 

Credit: Imperial College London

A 15-minute scan could help diagnose brain damage in babies up to two years earlier than current methods.

In a study of over 200 babies at seven hospitals across the UK and the USA, researchers found the brain scan, called magnetic resonance (MR) spectroscopy, predicted damage with 98 per cent accuracy.

Brain damage affects around one in 300 births in the UK, and is usually caused by oxygen deprivation. However, currently doctors are unable to accurately assess the extent of a newborn baby's brain damage.

Any child suspected of having some type of damage is given an MRI scan shortly after birth. This allows doctors to look at black and white pictures of the brain see if any areas of the brain look lighter than others, as this may suggest damage. Doctors then use this information to give parents an estimation of the extent of the damage, and the possible long-term disabilities their child may face.

However, this method is only between 60-85 per cent accurate, and relies heavily on the radiologist's individual judgement, meaning the prognosis can vary depending on who assesses the scan, and where the scan is done. Hence health professionals can only confirm if a child has lasting brain damage when they reach two years old, by assessing whether a youngster has reached their development goals such as walking and talking.

In the new study, led by Imperial College London, scientists used MR spectroscopy to assess the health of brain cells in an area called the thalamus, which coordinates a number of functions including movement, and is usually most damaged by oxygen deprivation.

The scan specifically tests for a compound called N-acetylaspartate - high levels of which are found in healthy brain cells, called neurons. A level of 9-10 is found in healthy neurons, whereas a level of 3-4 indicates damage.

The technology used is the same as that needed for an MRI scan, and only requires the baby to spend an additional 15 minutes in the scanner.

In the new trial, published in the journal Lancet Neurology, the scan was performed at the same time as the routine MRI scan when a baby was between four and 14 days old.

The scan does not carry any additional cost to the NHS, and the data can be easily analysed using special software by any radiographer.

Dr Sudhin Thayyil, study author and Director of the Centre for Perinatal Neuroscience in Imperial's Department of Medicine said: "At the moment parents have an incredibly anxious two-year wait before they can be reliably informed if their child has any long-lasting brain damage. But our trial - the largest of its kind - suggests this additional test, which will require just 15 minutes extra in an MRI scan, could give parents an answer when their child is just a couple of weeks old. This will help them plan for the future, and get the care and resources in place to support their child's long term development."

In the trial, funded by the National Institute for Health Research and the Medical Research Council, all of the babies had received so-called cooling therapy immediately after birth. This is now a routine treatment for newborns with suspected brain damage, and involves placing a baby on a special mat that reduces their body temperature by four degrees. Evidence has shown that cooling the body can help reduce the extent of brain damage, and reduce the risk of long term disabilities.

The babies then had their brain scan soon after this therapy, and detailed developmental assessment at two years of age. The results suggested the MR spectroscopy at two weeks accurately predicted the level of toddler's development at two years old.

Dr Thayyil added that the scan may also help scientists develop new treatments to tackle brain injury in babies: "At the moment, when doctors are trialling a new therapy that may boost development of children with brain damage, they must wait two years until they can assess whether the treatment is working. They also need to study a large number of babies. But with this new scan, they'll be able to assess this almost immediately, with a much smaller number of infants."

He added that the next step is to roll out the scan in more hospitals in the UK as a clinical tool. "Most NHS hospitals already have the facilities and software to perform this scan, it's just a case of increasing awareness and training."

"I remember the terror when we didn't hear a cry" - Christine's story

Christine Reklaitis gave birth to her daughter Georgiana in 2016, and took part in the trial at Imperial College Healthcare NHS Trust in London.

She said: "I had a healthy pregnancy, but during labour my midwife struggled to find Georgiana's heartbeat, and she was born shortly afterwards via emergency c-section.

I remember the terror when we didn't hear a cry after she was born, but thankfully she was breathing, and was whisked away to intensive care, and placed in an incubator. The doctors told us

they were going to cool her down, which we thought sounded unusual, but were told it would reduce her risk of brain damage.

We were asked to take part in a trial and quickly agreed. We felt our daughter's treatment benefitted from past studies, so we wanted to help develop future treatments.

After the first scan we were told the levels of a compound in her brain cells were low, but were incredibly relieved when a scan a few weeks later showed the levels had increased to normal levels.

She has since hit all her development goals, and is a normal two-year-old, and full of energy. We joke the cooling treatment stayed with her, as she never wants to wear a coat when we go outside.

We are so pleased we took part in this trial - and hope the research helps other families."

###


Disclaimer: AAAS and EurekAlert! are not responsible for the accuracy of news releases posted to EurekAlert! by contributing institutions or for the use of any information through the EurekAlert system.