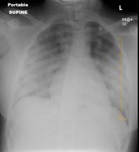
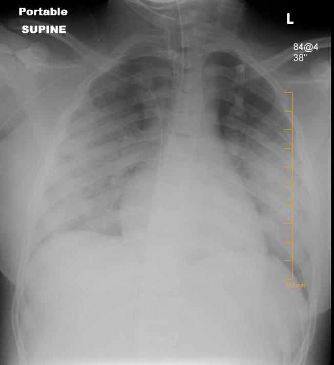
ARDS (IMAGE) Frontiers Caption X-ray of the chest of a patient with ARDS. Credit Courtesy Professor Kanwaljeet Anand Usage Restrictions This photo may be used freely with this article. License Licensed content Disclaimer: AAAS and EurekAlert! are not responsible for the accuracy of news releases posted to EurekAlert! by contributing institutions or for the use of any information through the EurekAlert system.