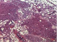
Images of white adipose tissue with white and beige adipocytes (purple staining identifies beige cells) for control and TLE3 deleted samples.
Credit
Villanueva Lab
Usage Restrictions
None
License
Licensed content
Disclaimer: AAAS and EurekAlert! are not responsible for the accuracy of news releases posted to EurekAlert! by contributing institutions or for the use of any information through the EurekAlert system.