News Release

Researchers identify genetic switch that controls conversion of bad to good fat

Research findings opens opportunities to offer opportunities to develop new treatments to tackle metabolic diseases, like diabetes

Peer-Reviewed Publication

University of Utah Health

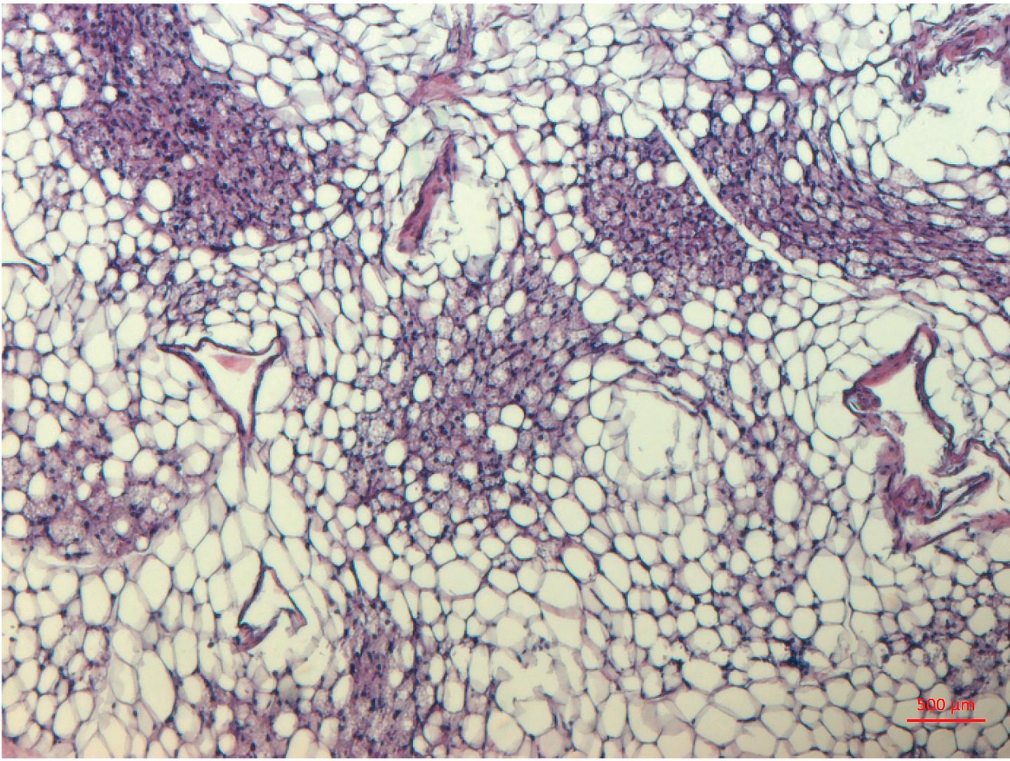
Control

image: Images of white adipose tissue with white and beige adipocytes (purple staining identifies beige cells) for control and TLE3 deleted samples. view more 

Credit: Villanueva Lab

Fat cells. They are the bane of a dieter's existence, but fat is important. Previous studies showed the subcutaneous white fat cells can transform to brown and beige varieties when exposed to cold stress. These dusky forms of fat, burn energy more effectively to keep an organism warm. Researchers at University of Utah Health have figured out a way to make more of these energy-burning fat cells. They have identified TLE3, a genetic switch that stops the conversion of white fat into these thermogenic varieties. The results are available online in the May 23 issue of the journal Genes and Development.

"Our story highlights that there are different types of fat cells, and TLE3 is one way to address how fat cells are programmed," said Claudio Villanueva, Ph.D., assistant professor in biochemistry at U of U Health and senior author on the paper. "If we could find therapeutic ways to inhibit TLE3, we may be able to develop interventions for type II diabetes. Therapies that help lower blood glucose levels are gravely needed."

Fat cells come in three varieties. White fat, the most common variety, is stored fat associated with metabolic disorders, like diabetes and obesity. Brown and beige fat contain more mitochondria, the energy centers of the cell, allowing these varieties to burn fuel more efficiently. Brown fat is activated in cold conditions and burned to create heat. Beige fat is found in bundles nestled within white fat, but little is known about it.

Previous research found that white fat tissue that overexpresses early B-cell factor 2 (EFB2) recruits more beige fat cells, but this protein-coding gene is triggered by many factors. Villanueva and his team focused on transducing-like enhancer 3 (TLE3), a protein situated in the same region as EFB2. They found that TLE3 acts like a switch, stopping EFB2 from converting white to beige fat and preventing energy expenditure and glucose use.

The team deleted TLE3 in mice and placed the animals in cold conditions for several days. According to Villanueva, they tried to recreate a situation where an animal would be trying to develop beige fat cells to understand impact of the loss of TLE3. In the absence of this gene, the knock-out mice recruited more beige fat cells. The team examined the impact of the abundance of beige fat on animal metabolism.

"The knock-out mice experienced enhanced energy expenditure under normal conditions and weight loss during cold conditions," said Stephanie Pearson, PhD, a researcher working in Villanueva's lab and first author on the paper. "Even without cold stimulation, the knock-out mice did not gain as much weight."

Villanueva believes these results could be used to create interventions for metabolic disorders.

"Long-term we want to identify or develop drugs that will target TLE3 that can be used as an intervention for patients with type 2 diabetes and obesity," he said.

###

Villanueva and Pearson were joined on this study by Judith Simcox and Sanghoon Lee at U of U Health, Anne Loft and Susanne Mandrup from University of Southern Denmark and Peter Tontonoz and Prashant Rahbhandari from University of California, Los Angeles. Their work, titled Loss of TLE3 Promotes the Mitochondrial Program in Beige Adipocytes and Improves Glucose Metabolism, received support from the National Institute of Diabetes and Digestive and Kidney Diseases and the National Institutes of Health. The team conducted their work in conjunction with the Metabolic Phenotyping Core at U of U Health and is part of the Diabetes and Metabolism Research Center, an interdisciplinary program that supports research relating to diabetes, metabolism, and overall metabolic health.


Disclaimer: AAAS and EurekAlert! are not responsible for the accuracy of news releases posted to EurekAlert! by contributing institutions or for the use of any information through the EurekAlert system.