News Release

Single-cell insights reveal how HPV status reshapes penile tumor immunity

Peer-Reviewed Publication

West China Hospital of Sichuan University

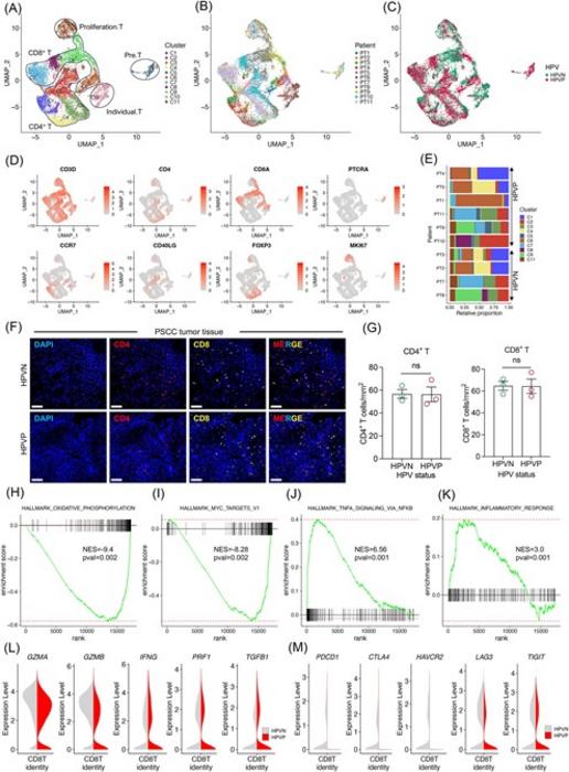
CD8+ T cells display a lower expression of ICB checkpoints in HPV+ PSCC.

image: 

CD8+ T cells display a lower expression of ICB checkpoints in HPV+ PSCC. (AC) UMAP plot of 14 693 TIL-Ts in Fig. 1(E). Each dot represents one single cell, coloured according to 11 clusters (A), 11 patients (B), and HPV status (C). These clusters were grouped into five cell types, including CD4+ T, PreT, CD8T, individual T (PT6), and proliferation T cells. Individual T cells were excluded for downstream statistical proportion analysis to reduce analytical bias. (D) UMAP visualization showing the classical marker gene expression to define major cell types. (E) Relative proportion of each cluster in 10 PSCC patients from HPV and HPV+ PSCC. (F) Multiplex immunofluorescence depicting the distribution of CD4+ and CD8T cells in HPV+ and HPV PSCC. Representative images include DAPI+ nuclei for reference. Scale bar: 200 μm. (G) Quantification of CD4+ and CD8+ T cells per area between HPVand HPV− PSCC (n = 3). GSEA showing pathways significantly enriched in HPV PSCC (H, I) or HPV+ PSCC (J, K). Violin plot showing the expression of cytokine (L) or immune checkpoint (M) in CD8T cells by HPV status. Statistical analysis was performed using a two-sided unpaired Student's t-test for (G) and a Wilcoxon rank sum test for (L) and (M). Data are presented as mean ± SEM, with significance levels indicated as follows: ns: not significant, *P < 0.05. ICB: Immune checkpoint blockade.

view more 

Credit: Precision Clinical Medicine

Penile squamous cell carcinoma (PSCC) is a rare but aggressive malignancy that severely affects men’s health worldwide. Half of all PSCC cases are linked to human papillomavirus (HPV) infection, yet the biological basis for the better prognosis of HPV-positive tumors remains unclear. Using single-cell RNA sequencing on tumor samples from 11 patients, researchers profiled nearly 53,000 individual cells to reconstruct the tumor microenvironment. They discovered that HPV-positive tumors contained fewer proliferative macrophages and less exhausted CD8+ T cells, along with stronger chemokine signaling. These findings reveal distinct immune remodeling associated with HPV infection and provide new insights into how viral status influences cancer immunity and patient outcomes.

Although penile cancer represents less than 1% of male malignancies, it carries substantial physical and psychological burden, with a five-year survival rate near 50%. Around half of Penile squamous cell carcinoma (PSCC) cases are associated with persistent HPV infection, which triggers oncogenic transformation via viral oncoproteins E6 and E7. Interestingly, HPV-positive PSCC patients tend to have better survival and treatment responses compared to HPV-negative cases. However, the mechanisms behind this clinical advantage remain poorly understood. Due to limited patient samples and tumor heterogeneity, previous genomic studies failed to fully capture the immune microenvironment. Given these challenges, it is necessary to explore the cellular ecosystem of HPV-associated PSCC using single-cell approaches.

A research team from the University of Science and Technology of China has mapped the tumor microenvironment of HPV-associated penile cancer at single-cell resolution. The study, published (DOI: 10.1093/pcmedi/pbaf013) in Precision Clinical Medicine in September 2025, analyzed 52,980 single cells from 11 treatment-naïve PSCC patients. By comparing HPV-positive (HPV+) and HPV-negative (HPV) tumors, the researchers revealed profound immune differences that may explain variations in prognosis and therapeutic response. The single-cell atlas provides a high-resolution reference for understanding how HPV infection shapes tumor immunity and microenvironmental dynamics.

Using high-throughput single-cell RNA sequencing, the team profiled immune, stromal, and epithelial cells from PSCC tissues to dissect their heterogeneity. Unsupervised clustering identified 49 distinct cellular subpopulations grouped into seven major cell types, including T cells, B cells, macrophages, NK cells, endothelial cells, and cancer-associated fibroblasts (CAFs). Notably, HPV+-PSCC tumors showed an increased abundance of mast cells but a significant reduction in proliferative macrophages compared to HPV cases. Gene ontology analysis revealed that inflammatory CAFs in HPV+-PSCC expressed higher levels of chemokines such as CXCL13, CXCL3, and CXCL12, suggesting enhanced immune recruitment. In contrast, antigen-presenting cells in HPV tumors upregulated CXCL5, CXCL1, and CCL13, promoting leukocyte migration and a more immunosuppressive niche. Transcriptomic profiling further revealed that CD8+ T cells in HPV+-PSCC expressed markedly lower levels of immune checkpoint molecules—including PDCD1 (PD-1), CTLA4, HAVCR2 (TIM-3), LAG3, and TIGIT—indicating reduced exhaustion and potentially greater antitumor activity. Ligand–receptor analysis highlighted that inhibitory signaling via TIGIT and its ligands (PVR, NECTIN2/3/4) was enriched in HPV tumors, reinforcing their suppressed immune environment.

“Our findings provide a comprehensive single-cell atlas of PSCC and uncover how HPV infection remodels the tumor ecosystem,” said the study’s investigators from the University of Science and Technology of China. “By identifying cell-type-specific immune signatures and signaling interactions, we can better understand why HPV-positive tumors tend to respond more favorably to therapy. These results also emphasize the importance of examining viral factors when designing personalized immunotherapy strategies for rare cancers like PSCC.”

This single-cell landscape offers a crucial resource for future research on viral-induced cancers and tumor immunology. The discovery that HPV-positive tumors harbor fewer exhausted CD8+ T cells and weaker inhibitory TIGIT–PVR signaling suggests potential biomarkers for prognosis and targets for immunotherapy. Therapeutic strategies aimed at restoring immune activation in HPV tumors—such as TIGIT blockade or chemokine modulation—could enhance treatment efficacy. Beyond penile cancer, this study also provides a conceptual framework for understanding how viral infections shape tumor immune microenvironments across different cancer types.

###

References

DOI

10.1093/pcmedi/pbaf013

Original Source URL

https://doi.org/10.1093/pcmedi/pbaf013

Funding information

This work was supported by the Key Research and Development Program of Anhui Province (grant No. 202204295107020003 to T.T.), the Distinguished Young Scholars Fund of Anhui Province (grant No. 2022AH020078 to T.T.), Major Joint Project of New Medicine of USTC (grant No. YD9110002018 to T.T.), and Anhui Provincial Cancer Hospital Project (grant No. QLGC 2024003 to T.T.).

Journal Precision Clinical Medicine

Precision Clinical Medicine (PCM) is a peer-reviewed, open access journal that publishes original research articles, case reports, reviews, editorials and perspectives on all aspects in the field of precision medicine in a timely manner. By doing so, the journal aims to provide new theories, methods, and evidence for disease diagnosis, treatment, prevention and prognosis, so as to establish a communication platform for clinicians and researchers that will impact practice of medicine.


Disclaimer: AAAS and EurekAlert! are not responsible for the accuracy of news releases posted to EurekAlert! by contributing institutions or for the use of any information through the EurekAlert system.