News Release

New insights into a leading poultry disease and its risks to human health

Peer-Reviewed Publication

Arizona State University

Killing Zone

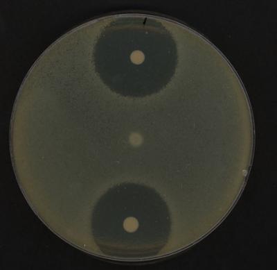
image: When bacteria contain the DNA plasmid pAPEC-1, they produce a powerful toxin that kills other bacteria. The top spot and bottom spot both contain pAPEC-1, creating a lysis zone where no other bacteria can grow within the area. The spot in the middle of the plate contains no pAPEC-1, allowing bacteria to grow and surround the spot. view more 

Credit: The Biodesign Institute, Arizona State University

Biodesign Institute at Arizona State University associate research scientist Melha Mellata, a member of professor Roy Curtiss' team, is leading a USDA funded project to develop a vaccine against a leading poultry disease called avian pathogenic E. coli (APEC).

APEC is part of a large, diverse group of microbes called extra-intestinal pathogenic E. coli (ExPEC). They cause a number of complex brain, lung and urinary tract diseases in human, animals, and birds. There is also considerable concern in the scientific community that APEC strains are becoming an emergent food pathogen. The poultry products are a suspected source of a suite of ExPEC infections, including those causing human disease.

The U.S. is the leading poultry industry in the world at an annual value of more than $50 billion, and E. coli infections are a big threat, causing millions in losses for the industry. According to the USDA, the two most common types of poultry infections are from the bacteria E. coli and Salmonella.

Antibiotics have long been the first line of defense to prevent APEC, but have lost their potency, as the bacteria have grown increasingly resistant to treatment. How these microbes cause disease is poorly understood. Mellata and colleagues in the institute's Center for Infectious Diseases and Vaccinology, led by Roy Curtiss, have been hard at work to understand the molecular tricks these bacteria use to evade a host's immune system.

Now, in a paper published in the journal PLoS One (http://www.plosone.org/article/info%3Adoi%2F10.1371%2Fjournal.pone.0004232), Mellata's team has analyzed the DNA sequence of a critical genetic element of APEC that contains several genes responsible for triggering its harmful effects. In addition, by comparing these genes to a collection of human ExPEC strains, they have shown that human and avian E. coli can carry the same disease-causing elements, which may increase the human risk of infection from poultry.

"The best way to prevent this infection is to develop a vaccine," said Mellata. "Our idea is to ultimately protect both poultry and humans by finding a group of genes common against all extra-intestinal E. coli." With this new knowledge of APEC, the group hopes to pursue the development of several new vaccine candidates.

Their latest research results help narrow the genetic search for the cause of APEC infections. Previously, she had shown that a circular, 100,000 base pair long DNA segment, called a plasmid, was responsible for causing disease. Without the plasmid, APEC becomes docile, losing its disease-causing strength.

Plasmids, in an evolutionary game of high-stakes poker, are swapped freely among bacteria in order to gain the upper hand---or in the case of pathogenic E. coli, to outwit its competitors by colonizing animals and causing disease. Over time, each plasmid becomes a patchwork quilt of DNA information, containing DNA parts exchanged among billions of bacterial encounters.

Her team took advantage of the latest advances in DNA sequencing to analyze the complete 103,275 DNA chemical letters that make up the plasmid, called pAPEC-1.

The multidisciplinary effort involved expertise from several ASU researchers, including Jeff Touchman, a School of Life Science Professor specializing in bioinformatics. It also utilized MEGA4, a software program developed by the Biodesign colleague Sudhir Kumar's lab that is used by more than 50,000 scientists worldwide to trace back and compare the evolutionary history of any DNA segment.

"DNA sequencing and bioinformatics analysis are very powerful tools that contribute in fully understanding the virulence of APEC, and provide new avenues of research," said Mellata.

The ABCs of APEC

In all, the group found 31 genes important for bacterial virulence, with more than one quarter (26 percent) conserved in other species. Almost half of the proteins made by these genes (46 percent) had no similarity to proteins that have been deposited into a public gene database.

Among the disease causing parts of the plasmid pAPEC-1 are a series of genes that make up proteins responsible for trafficking nutrients in and out of bacteria, called ABC transporters, which may be used to develop vaccine candidates. In addition to nutrition, many other ABC transporters help the bacteria elude toxins a host uses to fight off the infection.

Most of the genes that cause APEC's harmful effects are responsible for iron acquisition. Iron is a key element necessary for bacterial health, and the pAPEC-1 portion uses redundant systems to acquire and then hold onto iron at all costs. Mellata speculates that only bacteria that have strategies to acquire iron sequestered by the host can survive in specific niches and consequently cause blood-borne infections, and the bacteria may need these multiple iron acquisition systems to adapt to environment changes.

To look for the presence of these APEC genes in humans, Mellata worked with a collection of one hundred human clinical samples of ExPEC strains isolated from urinary and non-urinary tract infections by Dr. James R. Johnson of the VA Medical Center at the University of Minnesota. Her team found that human and avian E. coli can carry the same disease-causing plasmids, indicating there is a risk that APEC can be transmitted, or its genetic material transmitted from poultry to humans.

These common genes could be considered as potential candidates for a vaccine.

During the course of their research, the team also discovered a finding that could have broad implications for understanding the strategies that bacteria use to trade genetic material. Plasmids are able to acquire more virulence genes or turn benign bacteria into harmful pathogens by their ability to transfer from their own host bacteria into new recipient bacteria. By analyzing the DNA sequence of plasmid pAPEC-1 and testing the mechanism of transfer of pAPEC-1, Mellata and her team have discovered a new way that plasmids use to move from one bacteria to another. This system consists of hijacking the transfer machinery of other helper plasmids present in the same bacteria.

To create a vaccine for the USDA project, the APEC genes would be shuttled into the Salmonella bacteria in the hopes of triggering a protective immune response against both Salmonella and E. coli. This double duty vaccine could protect people not only against the increased risk of APEC causing human illness, but also against the most common food-borne illness, Salmonella.

Mellata feels that now that her team has identified many of the APEC gene targets they will use, it represents the end of the beginning of their research journey to develop a vaccine that will provide improved poultry health, an economic benefit to producers and enhanced food safety.

"The problem right now is understanding the virulence of APEC as well as Salmonella to find a way that will protect against all types of the bacteria," said Mellata.

###


Disclaimer: AAAS and EurekAlert! are not responsible for the accuracy of news releases posted to EurekAlert! by contributing institutions or for the use of any information through the EurekAlert system.