News Release

Protective effects of dl-3n-butylphthalide against diffuse brain injury

Peer-Reviewed Publication

Neural Regeneration Research

Cortical Neurons in Rats

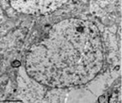
image: After administration of dl-3n-butylphthalide, cortical neurons in rats with diffuse brain injury have a clear nucleolus, smooth karyotheca, better con-tinuity, regular mitochondria shape, mostly tightly and regularly arranged complete cristae, and less shedding matrix granules. view more 

Credit: <i>Neural Regeneration Research</i>

Dl-3n-butylphthalide can effectively treat cerebral ischemia; however, the mechanisms underlying the effects of dl-3n-butylphthalide on microcirculation disorders following diffuse brain injury remain unclear. According to a study by Prof. Jianmin Li and team from Hebei United University of China, models of diffuse brain injury were established in Sprague-Dawley rats with the vertical impact method, and dl-3n-butylphthalide at 80 and 160 mg/kg was given via intraperitoneal injection immediately after diffuse brain injury. After administration of dl-3n-butylphthalide, reduced cerebral ultrastructure damage, increased vascular density and cerebral blood flow, and improved motor and sensory functions were observed. These findings, published in the Neural Regeneration Research (Vol. 8, No. 28, 2013), demonstrate that dl-3n-butylphthalide may have protective effects against diffuse brain injury by ameliorating microcirculation disorder and reducing blood-brain barrier damage and cerebral edema.

###

Article: " Protective effects of dl-3n-butylphthalide against diffuse brain injury " by Yaning Zhao1, Jianmin Li2, Pan Zhang1, Changxiang Chen1, Shuxing Li1 (1 College of Rehabilitation, Hebei United University, Tangshan 063000, Hebei Province, China; 2 Affiliated Hospital of Hebei United University, Tangshan 063000, Hebei Province, China)

Zhao YN, Li JM, Zhang P, Chen CX, Li SX. Protective effects of dl-3n-butylphthalide against diffuse brain injury. Neural Regen Res. 2013;8(28):2615-2624.

Contact: Meng Zhao
eic@nrren.org
86-138-049-98773
Neural Regeneration Research
http://www.nrronline.org/

Full text: http://www.sjzsyj.org/CN/article/downloadArticleFile.do?attachType=PDF&id=735


Disclaimer: AAAS and EurekAlert! are not responsible for the accuracy of news releases posted to EurekAlert! by contributing institutions or for the use of any information through the EurekAlert system.