24-Oct-2025 Malaria risk in the Amazon is higher in regions with intermediate forest degradation Fundação de Amparo à Pesquisa do Estado de São Paulo Peer-Reviewed Publication Research shows that areas with 50% deforestation near residential areas or fragmented vegetation allow greater contact between mosquitoes and humans. Amid the discussions for COP30, the study helps us understand the link between forest destruction and the spread of the disease. Journal Acta Tropica Funder Fundação de Amparo à Pesquisa do Estado de São Paulo
23-Oct-2025 Technique allows estimation of the force acting on each grain of sand in a dune Fundação de Amparo à Pesquisa do Estado de São Paulo Peer-Reviewed Publication Possible applications of a study conducted at the State University of Campinas range from controlling river silting and beach erosion to studying the evolution of the surface of Mars. Journal Geophysical Research Letters Funder Fundação de Amparo à Pesquisa do Estado de São Paulo
23-Oct-2025 South American long-necked dinosaur could easily stand on two legs Fundação de Amparo à Pesquisa do Estado de São Paulo Peer-Reviewed Publication Using computational engineering techniques to simulate weight and gravitational stress on sauropod femurs, researchers have demonstrated that these giant quadrupeds could generally remain standing for feeding, mating, and defense. Journal Palaeontology Funder Fundação de Amparo à Pesquisa do Estado de São Paulo
22-Oct-2025 Device assesses skin tone to create personalized facial foundations Fundação de Amparo à Pesquisa do Estado de São Paulo Spin-off of startup supported by FAPESP develops technology based on artificial intelligence to create individualized beauty products. Funder Fundação de Amparo à Pesquisa do Estado de São Paulo
22-Oct-2025 Underwater thermal vents may have given rise to the first molecular precursors of life Fundação de Amparo à Pesquisa do Estado de São Paulo Peer-Reviewed Publication To test the hypothesis, researchers from Brazil, the United States, and Japan built bench-scale reactors that simulate the interaction between hydrothermal fluids and primitive ocean water. Journal Journal of the American Chemical Society Funder Fundação de Amparo à Pesquisa do Estado de São Paulo
22-Oct-2025 Study paves the way for new therapeutic strategies against obesity Fundação de Amparo à Pesquisa do Estado de São Paulo Peer-Reviewed Publication Research conducted by Redoxoma, a FAPESP Research, Innovation, and Dissemination Center, found that mitochondrial potassium channels regulate heat production in brown adipose tissue. Funder Fundação de Amparo à Pesquisa do Estado de São Paulo
17-Oct-2025 Device can detect banned additive in wine, orange juice and mineral water Fundação de Amparo à Pesquisa do Estado de São Paulo Peer-Reviewed Publication Researchers at the Federal University of São Carlos used pieces of cork and lasers to create a mechanism that detects the presence of the substance, which has potential carcinogenic effects, in mineral water, orange juice, and wine. Journal Microchimica Acta Funder Fundação de Amparo à Pesquisa do Estado de São Paulo
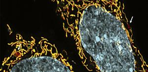
16-Oct-2025 Research reveals possibility of new drug therapy for hereditary diseases Fundação de Amparo à Pesquisa do Estado de São Paulo Peer-Reviewed Publication A study published in Science and involving a Brazilian researcher unveils a cellular mechanism involved in transmitting mutations in mitochondrial DNA. These mutations can cause serious, incurable diseases. Journal Science Funder Fundação de Amparo à Pesquisa do Estado de São Paulo
15-Oct-2025 Essential oil-based solution protects fruit from fungi Fundação de Amparo à Pesquisa do Estado de São Paulo FAPESP-supported startup develops formulations based on bio-inputs to combat fungal infections and reduce the use of pesticides in fruit growing. Funder Fundação de Amparo à Pesquisa do Estado de São Paulo
15-Oct-2025 The largest primate in the Americas could lose up to 61% of its climatically suitable habitat by 2090 Fundação de Amparo à Pesquisa do Estado de São Paulo Peer-Reviewed Publication Study predicts that the two species of muriquis will be restricted mainly to coastal regions of the Atlantic Forest, leaving populations in the interior seriously at risk. Predictions only consider climate change, which could mask an even greater risk when considering synergistic threats, such as forest fragmentation. Journal Journal for Nature Conservation Funder Fundação de Amparo à Pesquisa do Estado de São Paulo